Hundephysiotherapie Itzehoe
Die Hüftgelenksdysplasie ist eine häufig auftretende Erkrankung bei Hunden
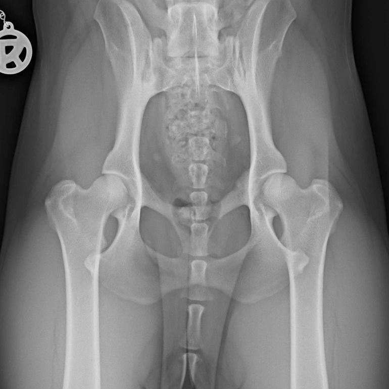
Die Hüftgelenksdysplasie (HD) ist eine multifaktorielle Erkrankung, die häufig bei Haushunden vorkommt und eine Fehlentwicklung des Hüftgelenks zur Folge hat. Neben der haltungs- und ernährungsbedingten Komponente, trägt vor allem auch eine genetische Komponente zu ihrer Entstehung bei.
Besonders betroffen sind größere Hunderassen wie z.B.
- Deutschen Schäferhunden
- Golden Retrievern
- Labrador Retrievern
- Boxer oder
- Berner Sennenhunde
Es können jedoch auch kleine Hunde von einer Hüftgelenksdysplasie betroffen sein.
Entgegen der landläufigen Meinung eine HD könnte erst im Alter von 12 Monaten zuverlässig diagnostiziert werden, kann man Veränderungen im Hüftgelenk schon ab einem Alter von 16 Wochen über ein spezielles röntgendiagnostisches Verfahren (PennHIP) zuverlässig feststellen. Gerade bei Hündinnen, die später zur Zucht zugelassen werden sollen, wäre dies Verfahren anzuraten, da dieses genauere Aussagen über die Gesundheit der Hüfte zulässt, als das herkömmliche Röntgenverfahren.
Die HD gehört zu den degenerativen Erkrankungen, sie schreitet mit dem älter werden des Hundes immer weiter voran.
Die Symptome können von Hund zu Hund unterschiedlich sein und variieren je nach Schweregrad der Erkrankung. Einige der häufigsten Symptome sind:
- Lahmheit oder Hinken: Der betroffene Hund kann Schwierigkeiten beim Laufen oder Stehen haben und ein Bein mehr belasten als das andere.
- Schmerzen: Hunde mit HD können Schmerzen oder Unbehagen in der Hüftregion zeigen, besonders nach körperlicher Aktivität oder bei kaltem Wetter.
- Steifheit: Betroffene Hunde können steif wirken, insbesondere nach dem Aufstehen oder nach dem Ruhen.
- Eingeschränkte Beweglichkeit: Hunde mit HD können Schwierigkeiten haben, ihre Beine vollständig zu strecken oder anzuheben, was zu einer eingeschränkten Beweglichkeit führt.
- Muskelschwund: Bei Hunden mit HD kann es zu einem Abbau der Muskulatur in den Hinterbeinen kommen, was zu einer verminderten Muskelmasse führt.
- Schwierigkeiten beim Aufstehen oder Hinlegen: Hunde mit HD können Schwierigkeiten haben, sich hinzulegen oder aufzustehen, und können dabei Schmerzen oder Unbehagen zeigen.
- Veränderungen im Gang: Der Gang des Hundes kann sich verändern, und er kann einen "hoppelnden" oder "schaukelnden" Gang entwickeln.
- Unwilligkeit, sich zu bewegen oder zu springen: Hunde mit HD können weniger aktiv sein und können es vermeiden, zu springen, zu rennen, Treppen zu steigen oder ins Auto zu springen.
Ob und welche Symptome der Hund zeigt, ist tatsächlich von Patient zu Patient unterschiedlich - es gibt Hunde die mit einem leichten Befund ausgeprägte Schmerzanzeichen zeigen, genauso wie es Patienten mit einem schweren Befund gibt, die erst im Alter anfangen Symptome zu zeigen.
Die Behandlung der Hüftgelenksdysplasie ist vielfältig, hier einige Beispiele:
- sollte der Hund übergewichtig sein, so empfiehlt sich als erstes eine Gewichtsreduktion.
- gezielter Muskelaufbau und eine damit einhergehende Stabilisierung des Gelenks haben einen hohen Mehrwert für den Hund - dies kann besonders gelenkschonend auf dem Unterwasserlaufband erfolgen, aber auch auf dem täglichen Spaziergang kann man Übungen einbauen, welche dabei helfen die Muskulatur aufzubauen.
- übermäßige Belastung des Gelenks sollte vermieden werden - Start-Stop-Spiele, wie z.B. das Ballspielen, sollten vermieden und lieber durch gelenkschonende Spiele (z.B. Dummysuche) ersetzt werden.
- der Rücken des Hundes sollte außerdem immer schön warm und trocken gehalten werden. Ein Hundemantel wird zum Teil zwar immer noch belächelt, bei einem Hund mit HD und nass-kaltem Wetter ist dieser jedoch eine große Hilfe.
- der Schlafplatz des Hundes sollte geschützt stehen und möglichst weich gepolstert sein. Eine Alternative ist das orthopädische Hundebett
- auch der Einsatz von Schmerzmitteln sollte nicht außer Acht gelassen werden - kein Hund sollte unnötigerweise unter Schmerzen leiden. Wenn der Hund Schmerzen hat, dann ist eine Beratung beim Tierarzt und eine Gabe von Schmerzmitteln angezeigt. Ich arbeite gerne mit Schmerzmitteln in der ersten Phase der Physiotherapie, damit wir schmerzfrei Muskulatur aufbauen und die nötigen Behandlungen durchführen können.











