Hundephysiotherapie Itzehoe
Katrin Dowidat • 20. Februar 2025
Alterserscheinungen beim Hund physiotherapeutisch behandeln

Hunde begleiten uns oft viele Jahre und werden zu treuen Begleitern im Alltag. Doch wie bei uns Menschen, können auch Hunde im Alter mit gesundheitlichen Herausforderungen konfrontiert werden - insbesondere wenn es um den Bewegungsapparat geht. Gelenkschmerzen, Steifheit und eingeschränkte Beweglichkeit sind häufige Alterserscheinungen, die das Wohlbefinden eines älteren Hundes erheblich beeinträchtigen können. Doch glücklicherweise gibt es Lösungen - eine davon ist die Physiotherapie. In diesem Beitrag werfen wir einen Blick auf die häufigsten Alterserscheinungen des Bewegungsapparats und zeigen, wie Hundephysiotherapie dabei helfen kann.
Häufige Alterserscheinungen des Bewegungsapparats bei Hunden
Mit zunehmendem Alter durchlaufen Hunde eine Vielzahl von körperlichen Veränderungen, die auch ihren Bewegungsapparat betreffen können. Zu den häufigsten Alterserscheinungen gehören:
1. Arthrose:
Arthrose ist eine der häufigsten Erkrankungen bei älteren Hunden. Diese degenerative Gelenkerkrankung führt zu einer schrittweisen Zerstörung des Knorpels und verändert die Gelenkstruktur. Die Gelenkkapsel zieht sich zusammen, die Gelenkflüssigkeit verliert ihre Viskosität und bildet entzündungsfördernde Substanzen, knöcherne Zubildungen verursachen Schmerzen. Schmerzen und Steifheit sind die Folge, was die Beweglichkeit des Hundes stark einschränken kann.
2. Spondylose:
Spondylose bezeichnet die Bildung von Knochenbrücken zwischen den Wirbelkörpern, die zu Schmerzen und Steifheit im Rückenbereich führen und auch die Spinalnerven beeinträchtigen können (Hund knickt hinten weg, schleift mit den Pfoten). Diese Erkrankung tritt in Schüben auf und ist für den Hund sehr schmerzhaft.
3. Muskelabbau (Sarkopenie):
Mit dem Alter nimmt die Muskelmasse bei vielen Hunden ab. Dies kann durch reduzierte Aktivität und eine Veränderung der Stoffwechselprozesse im Körper verursacht werden. Ein Verlust der Muskulatur kann zu einer eingeschränkten Beweglichkeit und zu einer erhöhten Belastung der Gelenke führen.
4. Gelenksteifheit:
Eine verminderte Flexibilität der Gelenke ist ein weiteres häufiges Problem älterer Hunde. Die Beweglichkeit nimmt ab, und Hunde bewegen sich oft langsamer oder vermeiden Bewegungen, die mit Schmerzen verbunden sind.
5. Veränderte Gangart:
Hunde, die unter Schmerzen leiden, passen oft ihre Gangart an. Sie können anfangen, lahm zu gehen oder den Gang zu schönen, was langfristig zu einer schlechten Haltung und weiteren Problemen führen kann.
Wie Physiotherapie bei Alterserscheinungen hilft
Hundephysiotherapie kann eine äußerst wirksame Methode sein, um die Lebensqualität älterer Hunde zu verbessern, die mit den oben genannten Problemen zu kämpfen haben. Hier sind einige der Vorteile der Physiotherapie:
1. Schmerzlinderung:
Physiotherapeutische Maßnahmen wie Massage, Wärme- und Kälteanwendungen oder die Verwendung von Lasertherapie können helfen, Schmerzen zu lindern und Entzündungen zu reduzieren. Dies ist besonders wichtig bei Gelenk- oder Rückenproblemen wie Arthrose und Spondylose.
2. Förderung der Beweglichkeit:
Durch gezielte Bewegungsübungen und Mobilisationstechniken können steife Gelenke wieder beweglicher gemacht werden. Die Hundephysiotherapie unterstützt dabei, die Gelenkfunktionen zu erhalten oder sogar zu verbessern.
3. Stärkung der Muskulatur:
Hundephysiotherapie hilft, die Muskulatur zu stärken und Muskelabbau zu verhindern. Durch gezielte Übungen kann der Hund seine Muskulatur wieder aufbauen, was die Belastung der Gelenke verringert und die Beweglichkeit verbessert.
4. Steigerung der Lebensqualität:
Eine regelmäßige physiotherapeutische Behandlung für Ihren Hund fördert nicht nur die körperliche Gesundheit, sondern auch das allgemeine Wohlbefinden des Hundes. Hunde, die sich weniger schmerzhaft und steif bewegen, sind oft aktiver, fröhlicher und insgesamt zufriedener.
5. Vorbeugung von weiteren Schäden:
Hundephysiotherapie trägt dazu bei, dass der Hund sich korrekt bewegt, was zusätzliche Schäden an den Gelenken und Muskeln verhindern kann. Indem schadhafte Bewegungsmuster korrigiert werden, verringert sich das Risiko von Fehlbelastungen.
Hundephysiotherapie - welche Behandlungsmethoden kommen zum Einsatz?
Es gibt eine Vielzahl von physiotherapeutischen Techniken, die speziell auf die Bedürfnisse älterer Hunde abgestimmt sind. Zu den häfigsten gehören:
- Massagen: Sie helfen, Verspannungen zu lösen, die Blutzirkulation zu verbessern und die Muskulatur zu entspannen.
- Wärme- und Kältebehandlungen: Diese können Schmerzen lindern und Entzündungen reduzieren.
- Lasertherapie: Diese Therapieform fördert die Heilung von Gewebe und lindert Schmerzen durch die Anwendung von Lichtstrahlen.
- Therapeutisches Training: Hierbei handelt es sich um gezielte Bewegungsübungen, die die Muskulatur stärken und die Gelenke beweglicher machen.
- Hydrotherapie: Das Training im Wasser entlastet die Gelenke und ermöglicht eine sanfte Mobilisation, während die Muskulatur gleichzeitig gestärkt wird.
Fazit
Alterserscheinungen des Bewegungsapparats können den Lebensalltag deines Hundes erheblich beeinträchtigen. Doch mit der richtigen Behandlung, insbesondere durch Hundephysiotherapie, kann die Lebensqualität deines Hundes nachhaltig verbessert werden. Physiotherapie bietet eine sanfte, aber effektive Möglichkeit, Schmerzen zu lindern, die Beweglichkeit zu fördern und die Muskulatur zu stärken. Wenn du bemerkst, dass dein Hund im Alter Schwierigkeiten hat, sich zu bewegen, oder Anzeichen von Schmerzen zeigt, kann eine frühzeitige physiotherapeutische Behandlung dazu beitragen, dass er auch im hohen Alter noch ein aktives und glückliches Leben führen kann.
Möchtest du mehr darüber erfahren, wie Physiotherapie deinem Hund helfen kann? Ich berate dich gerne und bieten individuelle Behandlungsmöglichkeiten an.

Um den Druck vom Rückenmark zu nehmen, ist in vielen Fällen eine OP angezeigt, um eine weitere Schädigung des Rückenmarks zu vermeiden. Danach kann die physiotherapeutische Behandlung einer schnellen Genesung zuträglich sein. Bei leichten Bandscheibenvorfällen kann eine Behandlung mit Medikamenten und Physiotherapie ausreichend sein

Gerade das frühe Auftreten der ED kann dazu führen, dass die Lahmheit des Junghundes nicht Ernst genommen wird. Wenn ein junger Hund Lahmheiten, Bewegungsunlust oder Schmerzanzeichen zeigt, sollte diesem aber auf jeden Fall Beachtung geschenkt werden. Eine frühe Behandlung, möglicherweise auch operativ, kann dem Hund einen langen Leidensweg ersparen

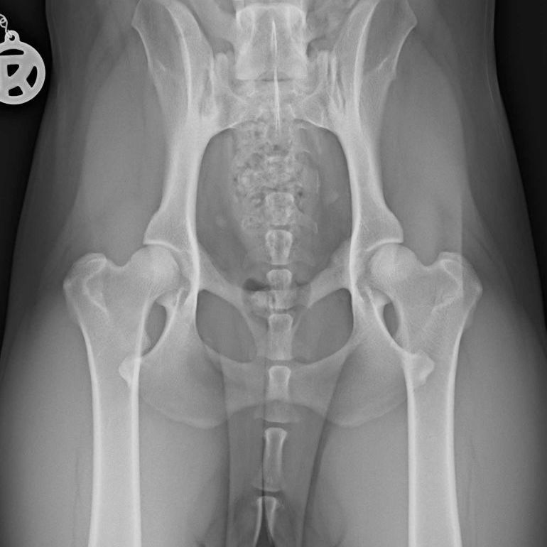
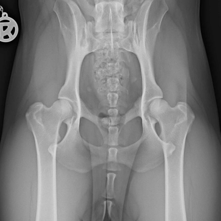
Die Hüftgelenksdysplasie (HD) ist eine multifaktorielle Erkrankung, die häufig bei Haushunden vorkommt und eine Fehlentwicklung des Hüftgelenks zur Folge hat. Neben der haltungs- und ernährungsbedingten Komponente, trägt vor allem auch eine genetische Komponente zu ihrer Entstehung bei. Besonders betroffen sind größere Hunderassen wie z.B. Deutschen Schäferhunden Golden Retrievern Labrador Retrievern Boxer oder Berner Sennenhunde Es können jedoch auch kleine Hunde von einer Hüftgelenksdysplasie betroffen sein. Entgegen der landläufigen Meinung eine HD könnte erst im Alter von 12 Monaten zuverlässig diagnostiziert werden, kann man Veränderungen im Hüftgelenk schon ab einem Alter von 16 Wochen über ein spezielles röntgendiagnostisches Verfahren (PennHIP) zuverlässig feststellen. Gerade bei Hündinnen, die später zur Zucht zugelassen werden sollen, wäre dies Verfahren anzuraten, da dieses genauere Aussagen über die Gesundheit der Hüfte zulässt, als das herkömmliche Röntgenverfahren. Die HD gehört zu den degenerativen Erkrankungen, sie schreitet mit dem älter werden des Hundes immer weiter voran. Die Symptome können von Hund zu Hund unterschiedlich sein und variieren je nach Schweregrad der Erkrankung. Einige der häufigsten Symptome sind: Lahmheit oder Hinken: Der betroffene Hund kann Schwierigkeiten beim Laufen oder Stehen haben und ein Bein mehr belasten als das andere. Schmerzen: Hunde mit HD können Schmerzen oder Unbehagen in der Hüftregion zeigen, besonders nach körperlicher Aktivität oder bei kaltem Wetter. Steifheit: Betroffene Hunde können steif wirken, insbesondere nach dem Aufstehen oder nach dem Ruhen. Eingeschränkte Beweglichkeit: Hunde mit HD können Schwierigkeiten haben, ihre Beine vollständig zu strecken oder anzuheben, was zu einer eingeschränkten Beweglichkeit führt. Muskelschwund: Bei Hunden mit HD kann es zu einem Abbau der Muskulatur in den Hinterbeinen kommen, was zu einer verminderten Muskelmasse führt. Schwierigkeiten beim Aufstehen oder Hinlegen: Hunde mit HD können Schwierigkeiten haben, sich hinzulegen oder aufzustehen, und können dabei Schmerzen oder Unbehagen zeigen. Veränderungen im Gang: Der Gang des Hundes kann sich verändern, und er kann einen "hoppelnden" oder "schaukelnden" Gang entwickeln. Unwilligkeit, sich zu bewegen oder zu springen: Hunde mit HD können weniger aktiv sein und können es vermeiden, zu springen, zu rennen, Treppen zu steigen oder ins Auto zu springen. Ob und welche Symptome der Hund zeigt, ist tatsächlich von Patient zu Patient unterschiedlich - es gibt Hunde die mit einem leichten Befund ausgeprägte Schmerzanzeichen zeigen, genauso wie es Patienten mit einem schweren Befund gibt, die erst im Alter anfangen Symptome zu zeigen. Die Behandlung der Hüftgelenksdysplasie ist vielfältig, hier einige Beispiele: sollte der Hund übergewichtig sein, so empfiehlt sich als erstes eine Gewichtsreduktion. gezielter Muskelaufbau und eine damit einhergehende Stabilisierung des Gelenks haben einen hohen Mehrwert für den Hund - dies kann besonders gelenkschonend auf dem Unterwasserlaufband erfolgen, aber auch auf dem täglichen Spaziergang kann man Übungen einbauen, welche dabei helfen die Muskulatur aufzubauen. übermäßige Belastung des Gelenks sollte vermieden werden - Start-Stop-Spiele, wie z.B. das Ballspielen, sollten vermieden und lieber durch gelenkschonende Spiele (z.B. Dummysuche) ersetzt werden. der Rücken des Hundes sollte außerdem immer schön warm und trocken gehalten werden. Ein Hundemantel wird zum Teil zwar immer noch belächelt, bei einem Hund mit HD und nass-kaltem Wetter ist dieser jedoch eine große Hilfe. der Schlafplatz des Hundes sollte geschützt stehen und möglichst weich gepolstert sein. Eine Alternative ist das orthopädische Hundebett auch der Einsatz von Schmerzmitteln sollte nicht außer Acht gelassen werden - kein Hund sollte unnötigerweise unter Schmerzen leiden. Wenn der Hund Schmerzen hat, dann ist eine Beratung beim Tierarzt und eine Gabe von Schmerzmitteln angezeigt. Ich arbeite gerne mit Schmerzmitteln in der ersten Phase der Physiotherapie, damit wir schmerzfrei Muskulatur aufbauen und die nötigen Behandlungen durchführen können.

Die Low-Level-Laser Therapie ist eine relativ neue Therapieform in der Tierheilkunde. Eigentlich kennt man sie eher aus der Humanmedizin und auch hier häufig eher von Power-Lasern, die für chirurgische Zwecke eingesetzt werden. Im Gegensatz zu den bekannten Power-Lasern handelt es sich bei den Low-Level-Lasern jedoch um sogenannten Kaltlaser, man kann also mit ihnen kein Gewebe verletzen. Stattdessen geht es bei der Low-Level-Laser Therapie darum, das Licht einer definierten Wellenlänge und verschiedener Frequenzen zu verwenden, um auf Zellebene die Regeneration und den Heilungsprozess zu unterstützen. Die durch das Laserlicht eingebrachten Photonen werden von den Mitochondrien ("Kraftwerke der Zelle") und der Zellmembran aufgenommen und regen so die Sauerstoffproduktion an. Vielfach nachgewiesen ist außerdem die Steigerung der ATP-Synthese, also der der Zelle zur Verfügung stehenden Energie, die für alle weiteren Stoffwechselvorgänge verantwortlich ist. Klinische Studien am Menschen, in denen die vielfache Wirksamkeit der Low-Level-Laser Therapie nachgewiesen wurde, findet man online zum Beispiel in der medizinischen Datenbank pubmed.gov. Low-Level-Laser werden in der modernen Kleintiertherapie zur Unterstützung der Wundheilung, Gewebsregeneration, Narbenbehandlung, Entzündungshemmung und Schmerzlinderung eingesetzt. Die Low-Level-Laser Therapie bietet uns eine nichtinvasive Behandlungsmöglichkeit, welche nahezu ohne Nebenwirkungen und Kontraindikationen angewendet werden kann.






